
Com o desenvolvimento da Medicina Dentária, a reabilitação protética dos nossos clientes tem usado os implantes dentários como solução para muitos casos. Os bons resultado e sucesso da técnica depende dentre outros fatores das condições orais e sistémicas do individuo, da fabricação do implante utilizado e da correta técnica cirúrgica e protética desenvolvida pelo Médico Dentista.
Este artigo vai abordar alguns dos pontos importantes para o uso de implantes dentários, com ele vamos encontrar o caminho para a sua melhor utilização e abordar algumas dúvidas existentes.

O que são implantes dentários?
Os implantes são “raízes” artificiais instaladas (implantadas) no osso mandibular ou maxilar. Ao substituir as raízes dentárias, é possível a implantação de próteses sobre os mesmos, permitindo a reabilitação estética e funcional (mastigação), além de devolver qualidade de vida social à pessoa que dele necessita.
Os implantes dentários proporcionam conforto e eficiência na mastigação, de forma similar aos dentes naturais, sendo superiores ao uso de próteses totais (dentaduras) e próteses removíveis.
Atualmente, os implantes são fabricados com titânio comercialmente puro, de eficiência cientificamente comprovada.
Porquê Titânio?
Por se tratar de um metal biocompatível, ou seja, pode ser utilizado em contato com os tecidos orgânicos sem causar reações adversas, permitindo a osseointegração.
O que é OSTEOINTEGRAÇÃO?
É o processo pelo qual o implante se integra ao osso, apresentando-se fixo, sem mobilidade ou sintomas durante as forças mastigatórias funcionais. Essa integração permite a alta taxa de sucesso na reabilitação dos pacientes.

Finalidade
Repor dentes ausentes com o objetivo de:
Função estética e mastigatória
Substitui dentes ausentes ou danificados e próteses convencionais, quando estas não correspondem às expectativas do paciente. Pode também servir de encaixe para um tipo de dentadura “prótese dentária removível”, aumentando de forma notável sua estabilidade e retenção.
Diminuir a sobrecarga em dentes remanescentes
Pacientes com perdas parciais dos dentes, além da consciente colocação de implantes e sua respetiva prótese que vem harmonizar não só estética e função, bem como possibilitar um equilíbrio na distribuição das forças durante a mastigação.

Função estética e mastigatória
O que é uma reabsorção Óssea? Por que ocorre?
Quando perdemos um ou mais elementos dentais, independente da causa que provoque a perda (cáries, doença periodontal, traumatismo…), inicia-se um processo de reabsorção óssea pela falta de estímulo da raiz ausente.
A função do osso maxilar e mandibular é sustentar as peças dentárias para permitir mastigação. Uma vez perdido o dente, esse osso perde sua finalidade principal e passa a ser reabsorvido pelo organismo. Essa reabsorção torna-se mais acentuada na maioria dos casos pela pressão das próteses removíveis, ou ainda pela própria idade do paciente. Esse último fator associado a problemas hormonais (como osteoporose) pode gerar uma perda na qualidade óssea.
Dentro desse quadro as consequências estéticas e funcionais podem ser dramáticas, debilitando o paciente progressivamente.
Atualmente existem técnicas regenerativas de osso e biomateriais que possibilitam a recuperação anatómica de áreas severamente reabsorvidas. Esses enxertos ósses permitem a recuperação do paciente para que este possa se submeter à colocação dos implantes dentários, com resultados mais satisfatórios.
Os implantes podem deter esse processo de reabsorção, que pode gerar tanto problemas funcionais quanto psicológicos nos indivíduos debilitados.
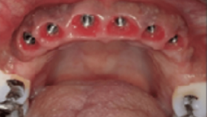
Reabilitação com Implantes
Caso Clínico 1 – Prótese parcial fixa superior sobre implante












Serei um candidato ideal?
Considera-se um candidato ideal caso:
A idade não é um fator determinante na hora de ser candidato a implante, porém é recomendado não os colocar antes dos 15-16 anos, até que o crescimento maxilar esteeja completo.
Os pacientes totalmente sem dentes e com idade avançada, são os que mais beneficiam da colocação de implantes.
A quantidade e qualidade do seu osso maxilar serão alguns dos parâmetros que o seu Médico Dentista vai estudar.
Quem não é um bom candidato para instalação de implantes?
São poucas as contraindicações deste tipo de tratamento, mas é contraindicado para:
Consideramos importante que qualquer pessoa que queira receber um tratamento com implantes esteja consciente que suas próteses precisarão de cuidados.
A manutenção através de adequada higienização e de revisões periódicas são fundamentais.
Reabilitação com Implantes
Caso Clínico 2 – Prótese unitária sobre Implante









É um tratamento que causa dor?
O tratamento não é doloroso. É simples e com os novos avanços da técnica cirúrgica e da tecnologia não condiciona um grande desconforto.
Quanto tempo dura o tratamento?
Por norma, a fase de osteointegração dura de 3 a 4 meses na mandíbula e de 5 a 6 meses no maxilar, por este ser um osso menos compacto. A elaboração de próteses geralmente é concluída no prazo de 1 mês apos essa fase. Este tipo de tratamento é relativo e específico para cada paciente. Em alguns casos o paciente pode ser reabilitado em um prazo de até 6 meses, já em outros, em apenas 24 horas.
Existe a rejeição?
A taxa de sucesso atualmente registada para implantes é superior a 95%, o que torna a técnica muito segura e previsível. Uma vez osteointegrado, o implante corretamente instalado e a prótese adequadamente planejada praticamente eliminam a chance de fracassos.
Eventuais perdas de implantes podem estar, no entanto, associadas a infecção, sobrecarga prematura dos implantes, má higienização local, ou casos em que o paciente não apresente um quadro sistémico favorável (como os reportados nas contraindicações). Essas perdas são evitadas na sua maioria pelo correto planeamento e execução do caso por Médicos Dentistas habilitados.
Os estudos de acompanhamento clínico já é feito há 4 décadas e os resultados com esta técnica permanecem estáveis com o passar do tempo. Porém não devemos esquecer que uma boa higiene diária e as consultas de manutenção são requisitos indispensáveis para o bom funcionamento das próteses.

O que acontece se um implante fracassar?
A percentagem de êxito atualmente é superior a 95% e a técnica encontra-se em constante evolução, aperfeiçoando-se por um lado a fase cirúrgica e por outro a estética das próteses. Hoje em dia, se um implante eventualmente falha é possível substituí-lo, resolvendo-se o problema ou utilizando enxertos ósseos que melhorem a ancoragem do implante.

Devo deixar de fumar?
Não tenha dúvidas: deixe de fumar ou diminua de forma gradual o número de cigarros.
O fumo prejudica gravemente a saúde de seus dentes e também a saúde dos tecidos ao redor dos implantes. O fumo pode ser um agravante que acelera a perda de um elemento dentário, consequentemente poderá causar a perda do seu implante.
Reabilitação com implantes
Caso Clínico 3 – Prótese fixa sobre implante superior e inferior “Carga imediata












É caro um tratamento deste tipo?
Não, em muitos casos o custo é inferior ao tratamento de uma reabilitação convencional, o tratamento varia de acordo com o número de implantes necessários e o tipo de prótese a ser reabilitada.
O resultado obtido dependerá não só da técnica, mas da qualidade dos produtos utilizados e da experiência do Médico Dentista que realiza o tratamento.
No entanto, atualmente a técnica é muito mais acessível, em que a tecnologia usada era exclusivamente importada e de alto custo.
De qualquer forma, a recuperação de uma força de mastigação satisfatória e de um sorriso que reintegra o paciente socialmente faz com que muitos dos pacientes que se submetem ao tratamento afirmam que:
“Este foi o melhor investimento que fiz em toda minha vida”.
Quais os benefícios dos implantes?
Os implantes podem repor a perda de um dente natural sem a necessidade de desgastar os dentes vizinhos para a preparação de uma prótese fixa ou removível.


Em casos de próteses removíveis parciais, esta pode ser substituída por próteses fixas, sem prejuízo ou sobrecarga dos dentes suportes naturais. Isto permite um aumento considerável do tempo de vida útil desses dentes, já que há uma melhor distribuição da carga mastigatória entre dentes e implantes.
Além disso, devido ao facto de as próteses permanecerem estáveis em sua posição situações comuns, como irritação das gengivas, dor e insegurança pela falta de estabilidade e retenção de próteses removíveis parciais ou totais, são eliminadas.
Para desdentados totais, a utilização dos implantes traz imensos benefícios para sua qualidade de vida. A “dentadura” convencional por vezes pode ser substituída por próteses fixas sobre implantes, ou por próteses removíveis “prótese dentária removível” que apresentam melhor retenção e estabilidade, oferecendo maior conforto e segurança ao seu portador.
Reabilitação com implantes
Caso Clínico 4 – Substituindo a dentadura por prótese fixa







Caso Clínico 5 – Prótese fixa superior “Carga imediata”








Reabilitação com implantes
Caso Clínico 6 – “prótese dentária removível” Sistema barra-clip






“Doutor, a minha recuperação no início do tratamento era a estética labial e com esse tipo de prótese eu recuperei os meus lábios”
Reabilitação com implantes
Caso Clínico 7 – “Carga Imediata” Inferior e Superior Simultaneamente










